
Here is an example of a patient who is missing two teeth on the upper jaw. With two dental implants, he was able to get his smile back! These dental implants feel like your own natural teeth. You can floss them like natural teeth and eat whatever you want with them!
It’s a great alternative to dental bridges or removable partial appliances.

This smile was transformed with Invisalign Clear Aligners in less than one year

This smile was done under 12 months with Invisalign Clear Aligners

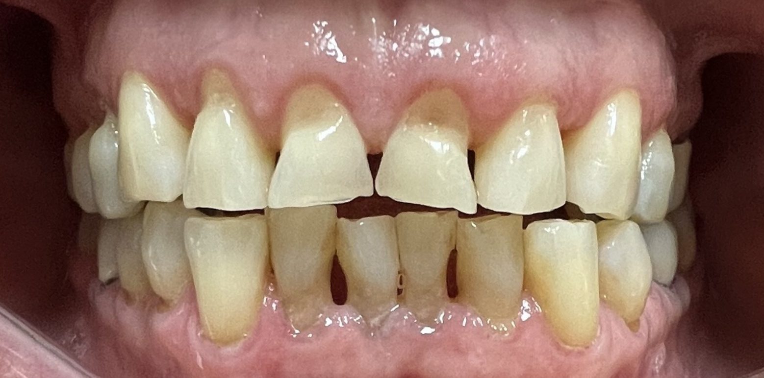
The six worn down upper teeth were given a huge make-over with porcelain crowns. Crowns protect teeth from further damage and dramatically enhance cosmetics for patients.

These worn teeth were given back life with these beautiful porcelain crowns in just two visits!

This beautiful smile was done in just two visits!